« Unsichtbare » Behandlungen
Wir können den Patienten, welche aus persönlichen oder beruflichen Gründen eine diskretere kieferorthopädische Behandlung wünschen, verschiedene Behandlungsmöglichkeiten vorschlagen.
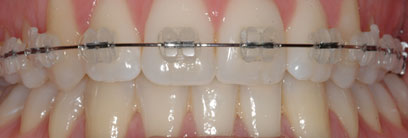
Durchsichtige Brackets: Wir benutzen die Keramikbrackets des Typs Clarity®. Keramik bietet im Vergleich zu den simplen durchsichtigen Kunststoffbrackets entscheidende Vorteile: Keramik ist farbstabil und wird nicht mit der Zeit oder aufgrund bestimmter Nahrungsmittel (z.B. Curry, Kaffee) gelblich, ausserdem ist Keramik ein sehr stabiles Material, das sich nicht leicht durch die Behandlung verformen kann, wie dies für Kunststoffbrackts der Fall ist.
Abnehmbare Kunststoffschienen: Wir arbeiten mit dem System Invisalign®. Die Behandlung besteht aus einer Serie von abnehmbaren und durchsichtigen Schienen. Sie tragen die jeweilige Schiene während ungefähr zwei Wochen bis zur nächsten Schiene. Die einzelnen Schienen werden individuell für ihre Zähne hergestellt.
Linguale Brackets: Wir benutzen das System Incognito®. Die Brackets werden auf der inneren (lingualen) Seite des Zahnes geklebt. Dank der individuellen Massanfertigung der Brackets für jeden einzelnen ihrer Zähne ist das System Incognito sehr genau und bietet grössten Komfort.
Dr. Christof Joss und Dr. Isabella Joss-Vassalli haben beide Ausbildungskurse besucht und besitzen sowohl das Invisalign®- wie auch das Incognito®-Zertifikat.
Je nach Schwierigkeitsgrad Ihrer Zahnfehlstellung können wir Ihnen die eine oder andere „unsichtbare“ Behandlung vorschlagen. Die Vor- und Nachteile der jeweiligen Behandlungen werden mit Ihnen besprochen.
Kontaktieren Sie uns für eine persönliche Beratung!
